Individual Prophylaxe
MIH-Diagnosen
Zur Diagnose genügt allein ein erfahrener Blick des Zahnarztes auf die Zähne des Kindes. Trotz hoher Prävalenz birgt die Diagnostik der MIH einige Fallstricke. Das klinische Bild eines MIH-Zahnes wird häufig mit besser bekannten Erkrankungen wie Amelogenesis imperfecta und Dentalflourose verwechselt. Die Therapie dieser Erkrankungen ist unterschiedlich. Deshalb ist eine sichere Diagnose für eine richtige und erfolgreiche Therapie von erfahrenen Zahnärzten eine Voraussetzung.
Kinder Zahnfüllung


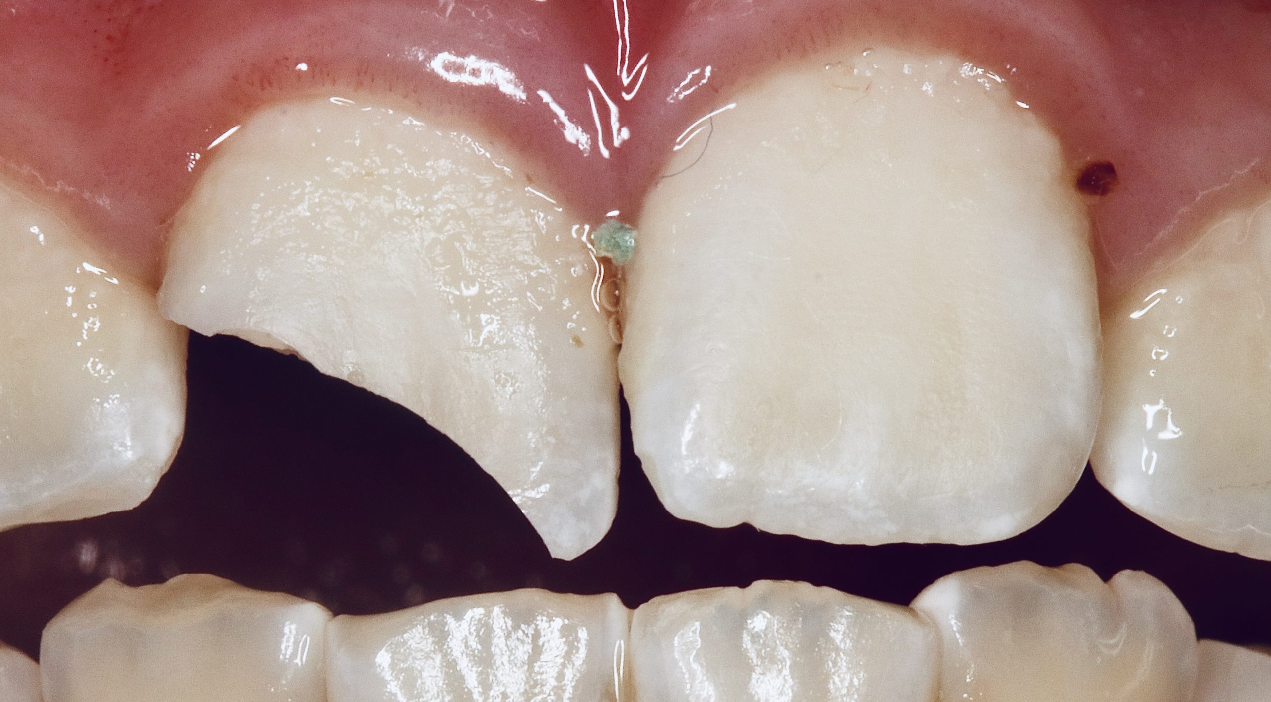
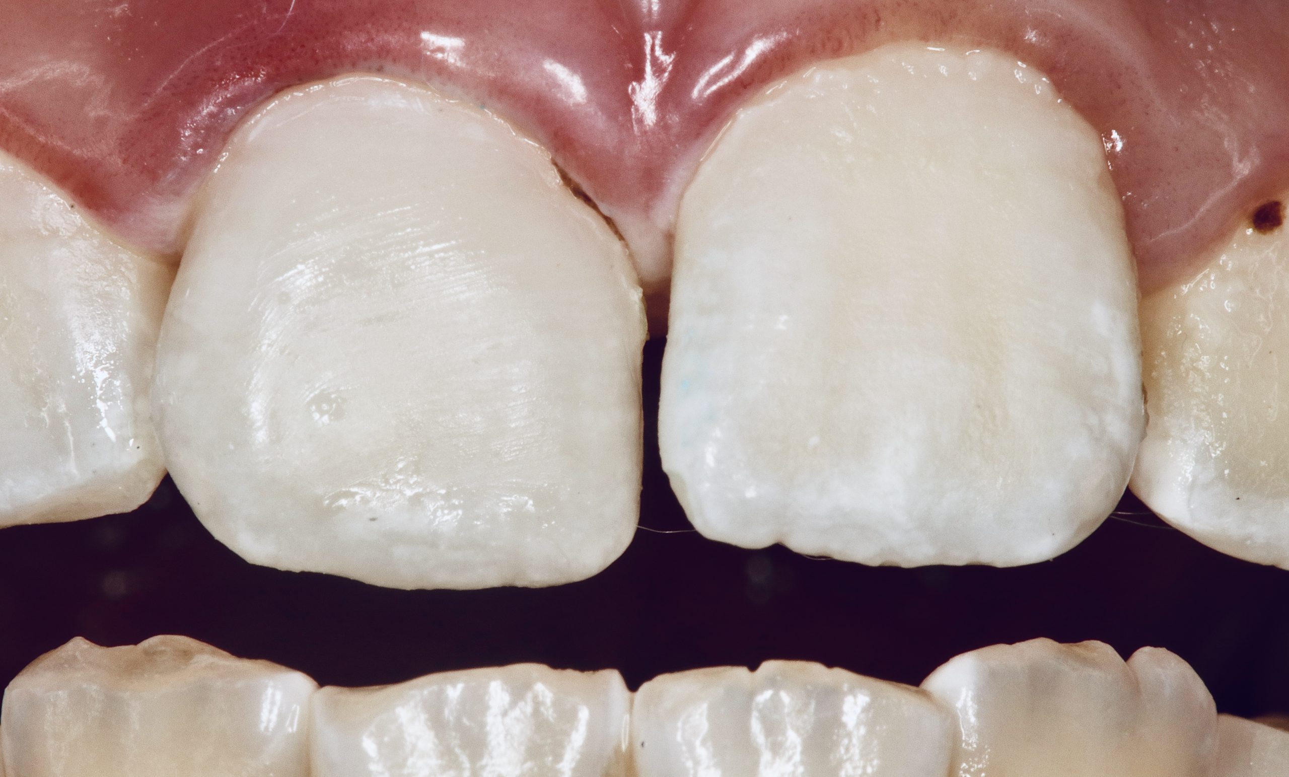
Milchzähne spielen eine essentielle Rolle bei Sprachentwicklung, Kaufunktion, Schmerzfreiheit, symmetrische Gesichtsentwicklung, Selbstbewusstsein und zahlreichen weiteren Aspekten der Entwicklung des bleibenden Gebisses. Deshalb ist die Behandlung von kariösen Milchzähnen für ein gesundes und schönes Lächeln im bleibenden Gebiss fundamental.
Kinder-Zahnkronen


Eine Zahnkrone ist ein Zahnersatz, bei dem eine Krone wie ein Mantel um den Zahn gesetzt wird. Sinn und Zweck der „künstlichen“ Krone ist es, den tief zerstörten aber noch zu erhaltenden Zahn zu restaurieren.
Wir bieten Ihnen in unserer Praxis effektive und moderne Behandlungsmethoden für Kindern mit Stahl-kronen und CAD/CAM (3D Cerec Technik)- Anfertigung. CAD/CAM- Technik ermöglicht uns präzise Fertigung und eine Fertigstellung der Krone am selben Tag.
Milchzahnendodontie
Der Erhalt der Milchzähne ist für Sprachentwicklung, Kaufunktion, Schmerzfreiheit, symmetrische Gesichtsentwicklung, Selbstbewusstsein und zahlreiche weitere Aspekte der bleibenden Zahnentwicklung fundamental. Deshalb ist eine endodontische Milchzahnbehandlung bei tiefer Karies oder einem Zahnriss essentiell. Der Erhalt der Milchzähne steht im Vordergrund, wenn der Nachfolgerzahn in mehr als 2 Jahren durchbricht oder bei Nichtanlage des bleibenden Zahnes. Je nach Ausdehnung und Art des Defekts stehen verschiedene Zahnerhaltungstherapien zur Verfügung.






