Wir kümmern uns um die MIH!


Unsere Story
Ich bin ein qualifizierter Kinderzahnarzt mit vielen Jahren Erfahrung. Nach dem Abschluss meines Studiums an der Charité-Universitätsmedizin Berlin entschied ich mich, mein Wissen und meine Leidenschaft der Behandlung von Kindern zu widmen und Ihnen die bestmögliche Erfahrung in der Zahnarztpraxis zu ermöglichen.
Ich habe einen starken Forschungshintergrund, den ich in meinen Jahren an der Charité-Universitätsmedizin Berlin als Wissenschaftlicher Mitarbeiter sowohl den Studierenden der Zahnmedizin als auch meinen kleinen Patienten und deren Eltern vermitteln durfte.
Da die Zahl meiner Patienten exponentiell zu wachsen begann, haben wir uns entschlossen, eine Familienpraxis zu gründen. Jetzt freuen wir uns, Ihnen mitteilen zu können, dass wir für Sie da sind und die beste Qualität und eine einfühlsame Behandlung für Ihre Kinder und Sie anbieten.
Das Team
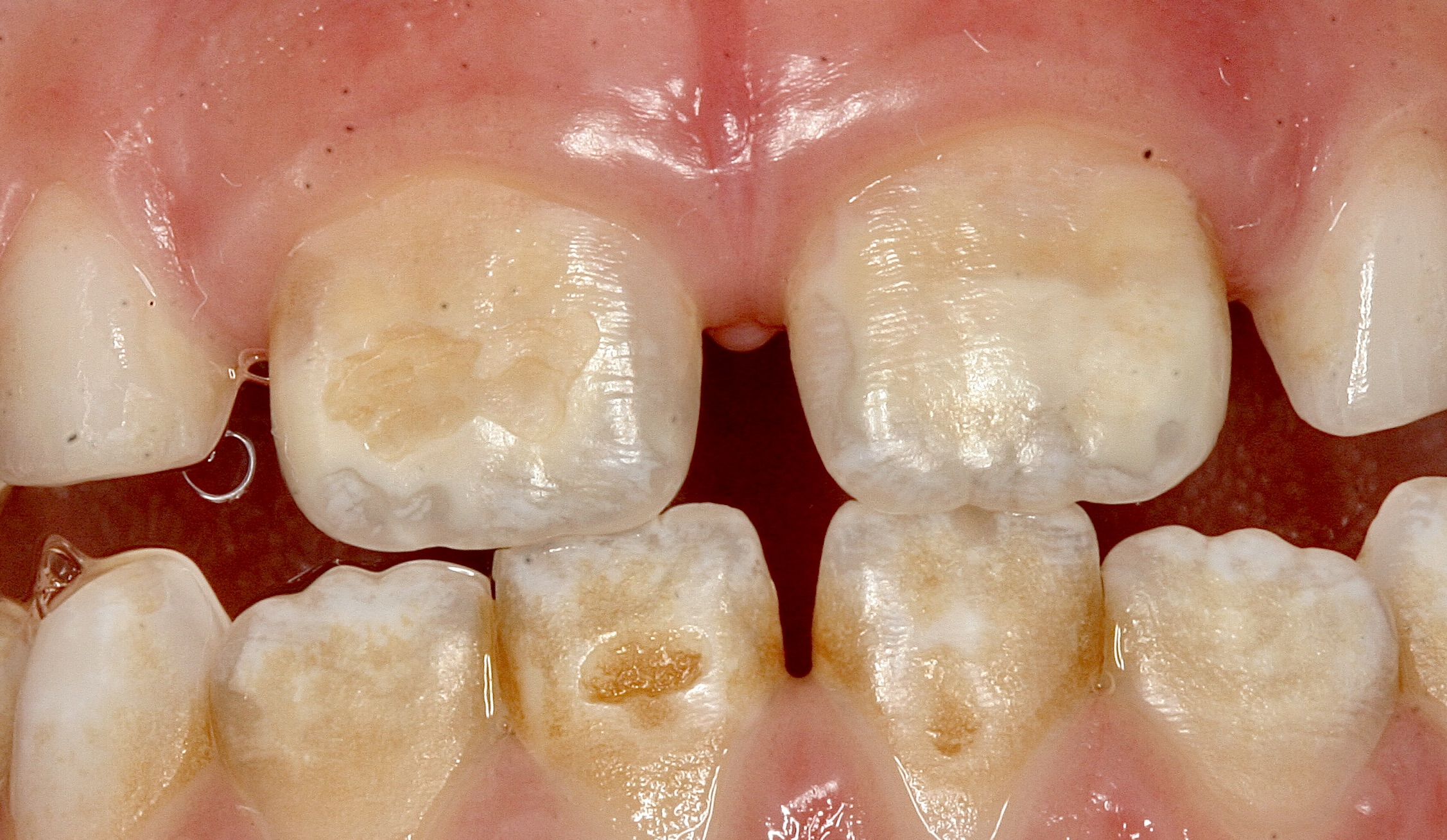
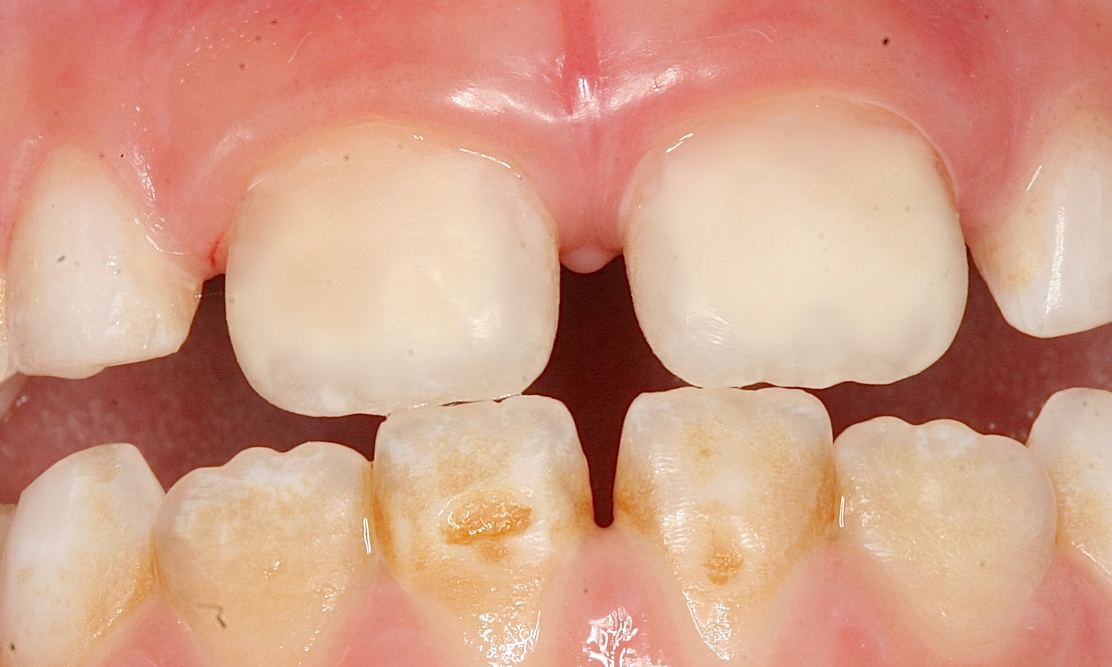
Arbeits-& Forschungs-schwerpunkt klassische Kinderzahnmedizin und Behandlung von Kindern mit Molaren-Inzisivus-Hypomineralisation (MIH)
Arbeits-& Forschungs-schwerpunkt klassische Kinderzahnmedizin
Spezialisiert auf
- Zahnerhaltung
- Ästhetische Zahnmedizin
- Parodontologie
- Endodontologie
- Implantologie
- Zahnersatz
Spezialisiert auf
- Funktionsdiagnostik
- Zahnerhaltung
- Ästhetische Zahnmedizin
- Parodontologie
- Endodontologie
- Zahnersatz
Herr Doueiri Behandlungsweise ist unglaublich angenehmen. Er hat meinem Kind die Angst vor dem Zahnarzt genommen und nun kommt mein Kind sehr gerne zu Ihm. Danke für diese tolle Erfahrung.
Laura Winkelmann
Mutter
Unsere Partner
Das MIH-Zentrum-Berlin arbeitet mit verschiedenen Zahnarzt- und Kieferorthopädischen Praxen zusammen.
Wir behandeln für Sie die MIH und schicken Ihnen die Patienten wieder zurück





